Dragan Antić
Pravila bezbedne vožnje sa detetom u kolima
Vožnja sa decom može biti zabavna i za putnike i za vozače. Međutim, povrh svakodnevne brige o mališanima, imate dodatnu odgovornost da ih prevezete...
Ideje za pravljenje ukrasa: Napravite sami venac za vrata, mirisne sveće...
Približavaju se Nova godina i Božić, vreme nezaboravni prazničnih trenutaka u krugu porodice. Vreme koje treba posvetiti članovima porodice i dragim osobama, družiti se...
Kako izabrati jelku za Novu godinu: Saveti za kupovinu prirodne jelke
Običaj ukrašavanja božićnog i novogodišnjeg drveća postoji od davnina kod mnogih evropskih i svetskih naroda. Za ukrašavanje se koriste četinarske vrste. Četinari ni tokom...
Prava istina o Deda Mrazu: Priče i legende o Svetom Nikoli...
Prava priča o Deda Mrazu počinje sa Nikolom Mirijskim. Ona nas vraća u 3. vek, u selo Patara, blizu drevnog grada Mire u istorijskoj...
Zanimljive ideje za proslavu dečijeg rođendana
Pročitajte neke od saveta koji će Vam pomoći da važan dan, kao što je dečiji rođendan, pretvorite u smeh i zabavu! Ove zanimljive ideje...
Kako sačuvati bezbednost deteta na internetu
Roditelji se danas suočavaju sa mnogim izazovima kada je u pitanju vaspitanje i podizanje dece, a jedan od tih izazova je kako osigurati deci...
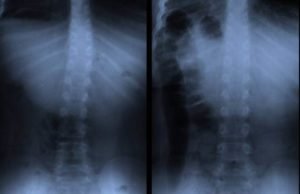
Deformiteti kičme kod dece – šta je skolioza i kifoza, njihova...
Razdoblje intenzivnog rasta i razvoja je najkritičnije kada su u pitanju kičmeni deformiteti kod dece. Kriva kičma kod dece je direktna posledica svakodnevnih životnih...
Kako probuditi kreativnost i prepoznati talente vašeg deteta
Naučnici su mnogo puta do sada dokazali kako se sklonosti i interesi kod dece formiraju jako rano. Možda ćete se iznenaditi, ali to se...
Igračke za decu: Ovo su razlozi zbog kojih dete ne treba...
Odrastanje mališana danas je gotovo nemoguće zamisliti bez hrpe igračaka. Roditeljima i njihovoj deci nudi se bogat izbor igračaka, te su roditelji često na...
Najlepše novogodišnje i božićne jelke na svetu: Zlatna jelka, jelka od...
Najveći simbol božićnih i novogodišnjih praznika jeste okićena jelka, koja je često glavna atrakcija na trgovima i ulicama velikih gradova širom sveta za vreme...













